Normal Pressure Hydrocephalus
Non-obstructive
enlargement of the ventricles in combination with one or more:
· Gait disturbance
· Urinary dysfunction
· Cognitive impairment
This
is referred to as Hakims triad (after Hakim and Adams who first described
condition in 1965)
Idiopathic (iNPH)
Secondary NPH
o Trauma
o Meningitis
o SAH
N.B the identification of a secondary cause increases the likelihood
that shunting will be helpful
Gait disturbance
o Slow short steps with reduced foot-floor clearance
o Outward angling of toes gives shuffling appearance
o Difficulty turning turn en bloc
o Decreased arm swing
o Patient may retain ability to carry out walking movements when lying down.
Problems of control of urination 50%
Cognition
Other symptoms sometimes seen:
o Upper limb tremor

NPH Radscale
score
Score >4 predicts higher chance of shunt responsive NPH
(From Kockum et al Plos One 2020)

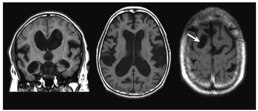
Evans index
o Ratio of the widest width of the frontal ventricles to the widest width of the brain on an axial plane
Z-Axis Evans index and Brain-Ventricle ratio

Angle of corpus callosum on coronal imaging

DESH Dilated epidural spaces in hydrocephalus

Transependymal oedema
Increased flow rate through aqueduct phase contrast MRI measurement
o CSF flow velocity, pulsatile flow, stroke volume, and pressure gradient in the cerebral aqueduct significantly increase in iNPH.
o One study suggested very high accuracy, however not verified (Sensitivity 7885%, Specificity 100%)
Cingulate sulcus
o Measured in sagittal plane - In NPH the posterior part is narrower
SPECT
o Convexity apparent hyperperfusion pattern (CAPPAH)
- Decreased blood flow in anterior cerebral hemisphere and around sylvia fissure, increased blood flow in high cortical areas
FDG-PET
o Decreased glucose metabolism in basal ganglia suggested but no consistent useful pattern?
Measure CSF pressure (should be <20cm)
CSF analysis - should be normal in NPH - abnormal composition may point to secondary cause (e.g. high protein)
30-50ml CSF drained
Post testing at 2-4 hours (+/- 6, 8 and 24hours)
o Some suggest that improvements can occur over up to one week.
o UK centre use a single evaluation after 4 hours as most practical compromise.
o Gait tends to improve first. Cognition and urinary symptoms may also improve.
o
One study (Virhammar
et al. 2011) found that of patients that did respond 60% responded at 2 hours
with 96% having responded with in 8hours (100% responded by 24hours by
definition).
Testing pre and post
o Gait testing
- 10m walk test time or number of steps
Positive test = 10% improvement on both or 20% improvement on one.
- Timed up and go (TUG)
- Video gait review (Gait style 1-8 (Normal through to wheelchair bound)
o iNPH rating scale (see above)
o Cognitive testing could be considered MMSE (but unlikely to change acutely)
Accuracy
o Sensitivity 58% (26-87%), Specificity 75% (33-100%)
o PPV estimated in one study at 72% for gait assessment alone and 91% when neuropsychological assessment added.
24-72hours of lumbar drainage at 10ml/hr through temporary lumbar drain.
Improved specificity diagnostic accuracy
Risk of meningitis
Fluid infused into CSF at one level and measured at another.
Rate of CSF absorption is calculated
Still under investigation
p-tau and t-tau lower than in alzheimers disease

Suggested
that:
Improvement
in mRS
3-6
months 39-81%
1
year 63-84%
Gait
improvement 60-77%
Cognitive
improvement 61-69%
Urinary
incontinence 52%
Co-morbidiites significantly affect prognosis
Keifer
index >4 predicts low chance of sustained improvement in function post shunt